• lek. dent. Konrad Rutkowski
  • Artykuł zweryfikowany przez eksperta

Stomatologia estetyczna: przed i po 

Przekonaj się, co aparat ortodontyczny, korony, licówki, wybielanie zębów, mosty, implanty, korekta konturu dziąseł lub całkowita przemiana dentystyczna mogą zdziałać.

1 z 13Bonding

Obraz
© Zdjęcie autorstwa bagaball /[ CC BY](https://creativecommons.org/licenses/by/2.0/)

Bonding to jeden z najłatwiejszych i najtańszych zabiegów, który polega na pokryciu zębów cienką warstwą kompozytu, utwardzaną za pomocą naświetlenia w celu nadania ułamanym lub pękniętym zębom ładnego i równego wyglądu, uzupełnienia szczelin, zmiany kształtu zębów lub jako alternatywa dla wypełnienia amalgamatem stomatologicznym.

2 z 13Licówki

Obraz
© Zdjęcie zębów / Shutterstock

Licówki to indywidualnie dopasowane cienkie płatki wykonane najczęściej z kompozytu porcelanowego lub żywicy kompozytowej, mocowane na przedniej stronie zębów. Taki zabieg umożliwia zmianę koloru, regulację kształtu zębów lub ustalenie ich odpowiedniej długości. W porównaniu z koronami, jest to bardziej konserwatywny sposób na zmianę wyglądu zębów, jednak jest on nieodwracalny.

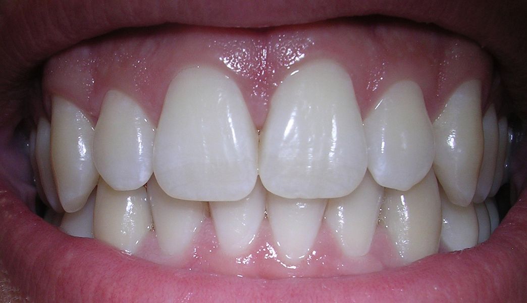
3 z 13Korony

Obraz
© Zdjęcie autorstwa Mjackowski / CC BY

Korona to ukształtowana nakładka, którą umieszcza się na powierzchni uszkodzonego zęba w celu utwardzenia lub polepszenia kształtu, wielkości czy ogólnego wyglądu. Większość koron wystarcza na 5-15 lat i mogą być wykonane z metalu, połączenia porcelany i metalu, ceramiki lub żywicy kompozytowej. Przed zabiegiem zęby są szlifowane, po czym następuje nałożenie korony, całkowicie przykrywając ząb. Istnieją też korony częściowe lub nakłady, które pokrywają mniejszą powierzchnię zęba.

4 z 13Konturing

Obraz
© Zdjęcie autorstwa Zdenko Zivkovic / [CC BY](https://creativecommons.org/licenses/by/2.0/)

Ten szybki i bezbolesny zabieg poprzez kształtowanie naturalnych zębów ma na celu polepszenie ich wyglądu. Na ogół stosuje się go w przypadku drobnych niedoskonałości, np. nierównych czy nieco stłoczonych zębów. Konturing daje natychmiastowe rezultaty i często łączy się go z wybielaniem zębów, licówkami czy bondingiem.

5 z 13Aparat ortodontyczny

Obraz
© Zdjęcie autorstwa Jenn Durfey / [CC BY](https://creativecommons.org/licenses/by/2.0/)

Aparat skoryguje krzywe zęby i poprawi zdrowie oraz wygląd uśmiechu każdego człowieka – zarówno dzieci, jak i dorosłych. Aparat oddziałuje na zęby poprzez stały nacisk, który z czasem powoduje ich wyrównanie oraz zmianę kształtu zębodołu.

6 z 13Rodzaje aparatów ortodontycznych

Obraz
© Zdjęcie kobiety / Shutterstock

Pomimo że używa się wciąż metalowych aparatów, mogą być one również mniej widoczne. Klamry – czyli część przymocowana do zębów – mogą być przezroczyste, zbliżone do koloru zęba lub wielobarwne. Istnieje też możliwość przymocowania klamry do tylnej części zęba, przez co nie rzuca się w oczy, a „niewidzialne” aparaty w postaci przezroczystych plastikowych nakładek zapewniają komfortowe leczenie bez wystających metalowych elementów.

7 z 13Wybielanie zębów

Obraz
© Zdjęcie autorstwa Mauren Veras / [CC BY](https://creativecommons.org/licenses/by/2.0/)

Piękny uśmiech zawsze jest w modzie. Na rynku dostępnych jest wiele preparatów do wybielania zębów: pasty, żele, paski czy nakładki lub środki wybielające dostępne u dentysty. Jednak nie każdy może wybielać zęby. Taki zabieg idealny jest dla osób, które mają zdrowe zęby, bez wypełnień oraz zdrowe dziąsła. Zęby o żółtawym przebarwieniu w porównaniu z tymi poszarzałymi reagują najlepiej. Porozmawiaj z dentystą, aby dowiedzieć się, czy wybielanie to dobry wybór.

8 z 13Chirurgia plastyczna dziąseł

Obraz
© Zdjęcie autorstwa Dozenist / CC BY

Taki zabieg pomaga zlikwidować uśmiech dziąsłowy – czyli taki, gdzie zęby są zbyt krótkie lub dziąsła nierówne. Mała ilość tkanki dziąsłowej lub nadmiar tkanki kostnej usuwa się i konturuje w celu odsłonięcia zęba. Chirurgia plastyczna dziąseł może być wykonana na pojedynczym zębie lub linii dziąsła albo na większej ilości, aby wyeksponować szeroki, naturalny uśmiech.

9 z 13Implanty

Obraz
© Zdjęcie autorstwa Commander / [CC BY](https://creativecommons.org/licenses/by-sa/2.0/)

Miliony Polaków cierpią z powodu utraty zębów, głównie na skutek próchnicy, chorób dziąseł lub urazu. Tytanowe implanty zastępują korzenie zębów, zapewniając solidny fundament dla doczepianych stałych lub wymiennych sztucznych zębów (koron). Zamiast stosowania pojedynczych koron, istnieje też możliwość przymocowania do implantów protezy.

10 z 13Proteza

Obraz
© Zdjęcie protezy / Shutterstock

Proteza to usuwalne zastąpienie brakujących zębów i okalającej tkanki. Istnieją dwa rodzaje protez: całkowite i częściowe. Całkowite protezy stosowane są w sytuacji całkowitego braku zębów, a częściowe w przypadku występujących naturalnych zębów.

11 z 13Mosty (stałe protezy częściowe)

Obraz
© Zdjęcie protezy / Shutterstock

Stały most zastępuje jeden lub więcej zębów poprzez przytwierdzenie korony do powierzchni wewnętrznych sąsiednich zębów, po czym następuje osadzenie mostu na odpowiednim miejscu.

12 z 13Przeszczep dziąseł

Obraz
© Zdjęcie kobiety / Shuttertstock

Korzenie zębów, które zostają odsłonięte na skutek cofania się dziąseł mogą być wrażliwe na gorące lub zimne jedzenie i napoje. Cofanie się dziąseł może skutkować ubytkami w korzeniu zęba, co z kolei może spowodować utratę tego zęba. Przeszczepy tkanki miękkiej zatrzymują proces cofania się dziąseł i poprawiają estetykę linii dziąseł.

13 z 13Smile makeover – całkowita zmiana wyglądu zębów

Obraz
© Zdjęcie kobiety / Shutterstock

Połączenie różnych zabiegów stomatologicznych pozwoli osiągnąć piękny uśmiech. Porcelanowe licówki i korony wyrównają krzywe zęby, nierówną linię dziąseł oraz inne niedociągnięcia. Stomatolodzy są w stanie dokonać radykalnej zmiany w wyglądzie uśmiechu i zdrowiu jamy ustnej, jednak musi to zostać ostrożnie zaplanowane. Pomimo że zabieg jest kosztowny i złożony, jego efekt końcowy jest tego wart.

Źródło artykułu: WP abcZdrowie
Wybrane dla Ciebie
Nie może opędzić się od mężczyzn. Waży ponad 100 kg i jest inspiracją dla kobiet
Nie może opędzić się od mężczyzn. Waży ponad 100 kg i jest inspiracją dla kobiet
Używałam kremu La Roche-Posay Lipikar dla skóry atopowej. Oto efekty
Używałam kremu La Roche-Posay Lipikar dla skóry atopowej. Oto efekty
Odkryli nowe działanie wit. D. "Przełomowy moment w dermatologii”
Odkryli nowe działanie wit. D. "Przełomowy moment w dermatologii”
Taką radę usłyszała od mamy. Aleksandra Kwaśniewska zdradza urodowy patent
Taką radę usłyszała od mamy. Aleksandra Kwaśniewska zdradza urodowy patent
Tak pozbędziesz się tłuszczu z brzucha. Trener wskazuje trzy produkty
Tak pozbędziesz się tłuszczu z brzucha. Trener wskazuje trzy produkty
Mówi się, że to eliksir młodości. Wystarczy łyżka dziennie
Mówi się, że to eliksir młodości. Wystarczy łyżka dziennie
Modelowanie żuchwy to silny trend. Lekarz mówi, jak wpływa na wygląd twarzy
Modelowanie żuchwy to silny trend. Lekarz mówi, jak wpływa na wygląd twarzy
Poleciała do Turcji po nowe zęby. Gdy spojrzała w lustro po zabiegu, zamurowało ją
Poleciała do Turcji po nowe zęby. Gdy spojrzała w lustro po zabiegu, zamurowało ją
Była o krok od śmierci. Koszmar zaczął się, gdy wróciła z Turcji
Była o krok od śmierci. Koszmar zaczął się, gdy wróciła z Turcji
Przeżyła koszmar. Nieudany zabieg sprawił, że odwołała wesele
Przeżyła koszmar. Nieudany zabieg sprawił, że odwołała wesele
Przez lata stosowała wypełniacze twarzy. 34-latka ostrzega
Przez lata stosowała wypełniacze twarzy. 34-latka ostrzega
"Beauty Story" - odc. 2. Świadome podejście do pielęgnacji (WIDEO)
"Beauty Story" - odc. 2. Świadome podejście do pielęgnacji (WIDEO)